Brett Hofmann, DDS
Family and Cosmetic Dentistry
Request an Appointment
Leave a Google Review
(650) 593-2139
General and Cosmetic Dentistry
Home
About
Our Team
Technology
Services
View All
Veneers
Teeth Whitening
Smile Makeovers
Invisalign® Clear Aligners
Dental Implants
Crowns and Bridges
Fillings
Root Canal Treatment
TMJ/Bruxism Treatment
Smile Gallery
View All
Crowns and Bridges
Smile Makeovers
Teeth Whitening
Veneers
Patient Info
View Patient Info
Testimonials
Forms
Financial
Contact
Brett Hofmann, DDS
>
Smile Gallery
>
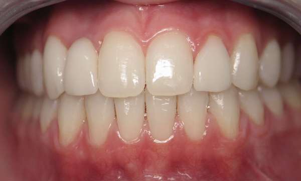
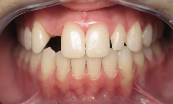
Smile Makeover
Smile Makeover
Return to Smile Gallery
Previous
Next
Related Services:
Smile Makeovers
Drag the arrows back and forth to view complete Before and After views
Ready to book an appointment?
Contact Us
If you have difficulty using our website, please
email us
or call us at
(650) 593-2139
View the
ADA Accessibility Statement
Turn on ADA Views
Privacy Policy
OK!
×
×
Contact Us Today
Give Us A Call
Brett Hofmann, DDS -
(650) 593-2139
Send Us an Email
Request an Appointment
Contact Us
Ready to Schedule an Appointment?
Book Online
Have Questions? Contact Us:
Required Field
Your Name:
Phone:
Email:
Are you a new patient?:
Are you a?
New Patient
Current Patient
How would you like us to contact you?
Please choose
Email
Call
How did you hear about us?
Please choose
I'm an existing patient
Google/Bing
Mailer
Word of mouth
Social media
Other
Who Referred You?:
Appointment Preferences
Monday
Tuesday
Wednesday
Thursday
Your Message:
This site is protected by reCAPTCHA and the Google
Privacy Policy
and
Terms of Service
apply.
Sending...
×
This Patient's Experience
Loading Testimonial...
Loading Case...