Fillings
For some, the appearance of standard silver amalgam fillings is unattractive. They are noticeable when you smile and can cause your teeth to appear discolored.
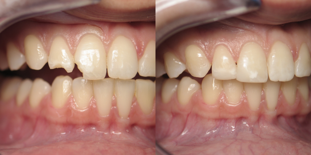
If you need a filling but don’t want it to be visible, tooth-colored composite fillings are the perfect solution. We can also use composite filling material to restore chipped teeth or fill small gaps between teeth to give you a more even, appealing smile.
What Is a Composite Filling?
Composite fillings are a mixture of resins, glass particles, and colorants that impart a translucent appearance similar to tooth enamel. The composite is applied to the tooth in layers and hardened using ultraviolet light. Unlike silver amalgam fillings, composites placed by your dentist match the color of your natural teeth and provide a seamless tooth repair.
Since the composite bonds directly to your tooth, these fillings require less removal of the healthy tooth, which leaves more remaining tooth structure intact. Composite fillings are also less prone to cracking and chipping than amalgam fillings due to temperature changes in your mouth.
Our Team
-
Dr. Brett Hofmann DDS
Dr. Brett Hofmann graduated from the University of the Pacific Dental School, San Francisco, in 1997. After completing an Advanced Clinical Education (ACE) general residency program, he practiced for six years as an associate dentist in San Mateo, California. In January of 2005, he proudly announced the opening of his solo dental practice in Belmont, California.
Dr. Hofmann's background is a journey westward that defines his diverse character. He was born and raised in Maryland, went to high school near Chicago, and received a Bachelor's Degree in Psychology from ...Read More
How Is a Composite Filling Placed?
To place a composite filling, the dentist numbs the area if necessary and removes any decay. The remaining tooth structure is then etched to create a rough surface to which the composite can bond.
Our dentist will match the shade of your natural tooth and mix a composite that they apply and harden in layers. Once built up, the filling will be shaped to accommodate your dental bite and look natural. The final step is to polish the filling, so it blends in perfectly.
We may use a semi-direct or indirect filling for areas needing larger repairs. This process involves a composite built up inside the mouth and then removed for curing or a filling manufactured outside of the mouth and cured. This allows for stronger curing and a more sturdy composite filling. Once the composite material is cured, it is bonded to your natural tooth.
Why Choose Composite?
While tooth-colored fillings are usually more expensive than silver amalgam fillings, they offer a better aesthetic than metal fillings. The filling material also acts more like a natural tooth, helping to avoid fractures due to uneven stress when biting.
Contact our office today to make an appointment so we can answer all your questions about tooth-colored composite fillings.
Testimonial
Dr. Hofmann is an excellent dentist, really knows his work.
"Dr. Hofmann is an excellent dentist, really knows his work. He is reliable and very professional. He would never suggest unnecessary treatments. Also, the office team and dental hygienists are really nice and professional. I am very happy we found him. He treats both adults and kids."