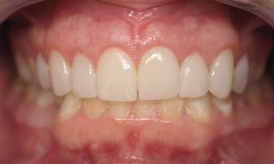
Smile Makeovers

Everyone deserves to have a beautiful, healthy smile that helps them feel great about their appearance and gives their self-confidence a boost.
If your smile doesn't live up to your expectations, you have options that can enhance its appearance and restore its health and vitality. Several aesthetic dental treatments are available that we can use alone or in combination for a true smile transformation. "Invisalign and whitening can be used in combination with veneers and dental implants to give your smile a fresh new look."
Improve Your Appearance and Oral Health
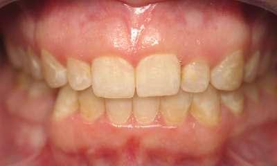
An attractive smile helps you feel good about yourself, but did you know that correcting some cosmetic flaws can also enhance your oral health?
One example is crooked teeth that detract from your appearance and contribute to cavities, gum disease, and dental bite problems. In this case, correcting the aesthetic flaw gives your smile an even, uniform look and also contributes to better oral health.
Our Team
-
Dr. Brett Hofmann DDS
Dr. Brett Hofmann graduated from the University of the Pacific Dental School, San Francisco, in 1997. After completing an Advanced Clinical Education (ACE) general residency program, he practiced for six years as an associate dentist in San Mateo, California. In January of 2005, he proudly announced the opening of his solo dental practice in Belmont, California.
Dr. Hofmann's background is a journey westward that defines his diverse character. He was born and raised in Maryland, went to high school near Chicago, and received a Bachelor's Degree in Psychology from ...Read More
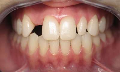
Missing Teeth and Dental Implants
Missing teeth certainly have a negative impact on your appearance, but they can also create serious oral health problems. A dental implant is an effective solution that is actually a complete tooth replacement, and the result is a fully functional, natural-looking tooth.
More importantly, the implant acts as a replacement for the root of the missing tooth. The artificial tooth root prevents deterioration of the jaw bone and shifting of surrounding teeth, which can lead to overcrowding of teeth and alignment issues.
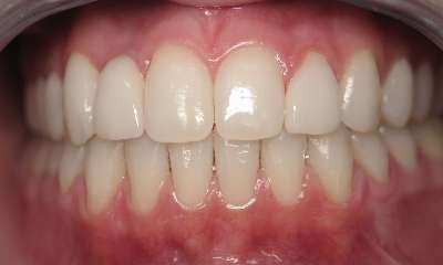
Porcelain Veneers
Porcelain veneers are a great choice for correcting a wide variety of cosmetic flaws like chipped, broken, or cracked teeth. Veneers also conceal slightly misaligned and irregularly shaped teeth for a more uniform appearance.
Veneers are made of thin shells of porcelain bonded to the front surfaces of your teeth. Porcelain is a naturally translucent material that closely resembles your natural teeth, so they blend beautifully and seamlessly into your smile.
Dental Crowns
Dental crowns are essential to restorative dentistry. They protect and strengthen a broken or cracked tooth or one compromised by decay. Since modern dental crowns are made of durable materials that resemble real tooth enamel, they reinforce weakened teeth and enhance your smile's appearance.
Many treatment options can help restore your smile to its full beauty and function, but only your dentist can help you decide which will be most effective for you.
If you would like more information on the services we provide or what is most appropriate for you, please contact our office.
Testimonial
Dr. Hofmann is the absolute best dentist!
"Dr. Hofmann is the absolute best dentist! He has surrounded himself with the most caring, wonderful, nice, fun staff! Who loves going to the dentist? Well, I do and I highly, highly recommend Dr. Hoffman."