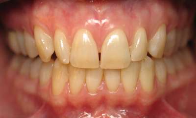
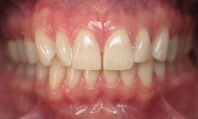
Teeth Whitening
Are you unhappy with tooth staining or discoloration that detracts from your beautiful smile?
Staining can occur for many reasons, including smoking or tobacco use. Your teeth can also become stained by certain foods and beverages, including red wine, coffee, and tomato sauce. The aging process is another factor that causes our teeth to take on a dull or yellowish appearance.
Fortunately, professional teeth whitening treatment at our dental office can eliminate tooth stains and provide brilliant results that give you a brighter, more youthful-looking facial appearance.
Our Team
-
Dr. Brett Hofmann DDS
Dr. Brett Hofmann graduated from the University of the Pacific Dental School, San Francisco, in 1997. After completing an Advanced Clinical Education (ACE) general residency program, he practiced for six years as an associate dentist in San Mateo, California. In January of 2005, he proudly announced the opening of his solo dental practice in Belmont, California.
Dr. Hofmann's background is a journey westward that defines his diverse character. He was born and raised in Maryland, went to high school near Chicago, and received a Bachelor's Degree in Psychology from ...Read More
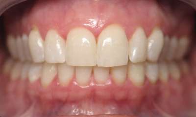
In-Office Whitening
Your dentist will choose whitening gel in the appropriate strength for your case while accounting for your level of sensitivity and your whitening goals. We protect your gums and carefully apply the prescription-strength whitening gel to your teeth. We then clean off the gel, check the results, and repeat the process until we achieve your desired brightness level. The entire process takes about an hour.
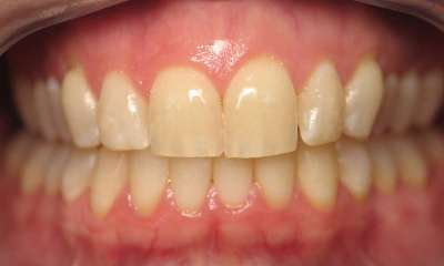
At-Home Whitening
For Adults, we combine the in-office whitening procedure with the take-home bleaching kit and trays custom made for your teeth.
After whitening for about two weeks at home, we recommend that you schedule a follow-up visit with our office to check on your progress.
Schedule a Consultation Today
Today is the perfect day to take your first step toward a brighter, whiter smile. Contact our cosmetic dentist today to learn more about our teeth whitening services.
Testimonial
Dr. Hofmann is the absolute best dentist!
"Dr. Hofmann is the absolute best dentist! He has surrounded himself with the most caring, wonderful, nice, fun staff! Who loves going to the dentist? Well, I do and I highly, highly recommend Dr. Hoffman."