Veneers
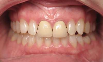
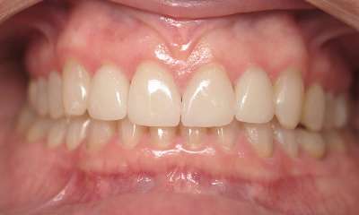
If you want to improve your smile's aesthetics, porcelain veneers are an excellent treatment to consider. Dental veneers are durable and look great—just like natural teeth, only better!
Porcelain veneers do not require much preparation, and we can usually place them in two or three appointments. Our patients are delighted with the results of porcelain veneers and only wonder why they didn't get them sooner.
What Makes Porcelain Veneers Special?
Porcelain is a durable, slightly translucent material that closely resembles the appearance of natural tooth enamel. Veneers look so natural that people won't notice you have had any work done—they will just notice your beautiful smile!
Since veneers have a smooth, glass-like finish, they are also resistant to staining and attracting bacteria that can harm your teeth.
What Problems Can Porcelain Veneers Fix?
One of the great things about porcelain veneers is that they are so versatile and an excellent choice for correcting numerous cosmetic dental flaws, including:
- Changing the shape of uneven teeth
- Covering chips and cracks in teeth
- Concealing gaps between your teeth
- Correcting the appearance of slightly misaligned teeth
Our Team
-
Dr. Brett Hofmann DDS
Dr. Brett Hofmann graduated from the University of the Pacific Dental School, San Francisco, in 1997. After completing an Advanced Clinical Education (ACE) general residency program, he practiced for six years as an associate dentist in San Mateo, California. In January of 2005, he proudly announced the opening of his solo dental practice in Belmont, California.
Dr. Hofmann's background is a journey westward that defines his diverse character. He was born and raised in Maryland, went to high school near Chicago, and received a Bachelor's Degree in Psychology from ...Read More
How Are Porcelain Veneers Applied?

Before we proceed with veneers, a dental exam is essential. We need to ensure your teeth are healthy so we can decide if porcelain veneers are the best choice for you. We will discuss your expectations so that we can make sure you get precisely the results you desire.
Once we decide that porcelain veneers are right for you, we recontour your tooth enamel so the veneers will cover your teeth perfectly. Next, we take dental impressions and help you choose the right shade of white for your final restorations.
Our dentist will place temporary veneers on your teeth and send the impressions to a trusted custom dental lab. Skilled technicians then carefully customize your veneers according to our exact specifications.
We will have you return to our office when your veneers are finished and bond them securely to the front surfaces of your teeth. Once they are in place, we polish and shape the veneers to perfection. With regular dental visits and proper at-home care, your veneers will keep your smile beautiful for many years.
Contact Our Office for More Information
We would love to hear from you so we can answer all your questions about porcelain veneers. Please contact our office for more information.
Testimonial
Dr. Hofmann made me feel at ease!
"What a super office! From the ladies at the front kind, considerate, and professional! I felt very at ease super clean office they are taking the right precautions to protect patients!! I have been a dental assistant for 35 years Nicole was awesome! Dr. Hofmann made me feel at ease! He has a super nice touch and answered all my questions and concerns! I felt he was very thorough compared to visits in the past! Super happy with my new dentist!"